TAP top app download banner
theAsianparent
theAsianparent
Product Guide
  • Together Against RSV
  • Pregnancy
  • Parenting
  • Child
  • Feeding & Nutrition
  • Education
  • Lifestyle
  • Events
  • Holiday Hub
  • Aptamil
  • TAP Recommends
  • Shopping
  • Press Releases
  • Project Sidekicks
  • Community
  • Advertise With Us
  • Contact Us
  • VIP
Login
    • Articles
  • Together Against RSVTogether Against RSV
  • PregnancyPregnancy
  • ParentingParenting
  • ChildChild
  • Feeding & NutritionFeeding & Nutrition
  • EducationEducation
  • LifestyleLifestyle
  • EventsEvents
  • Holiday HubHoliday Hub
  • AptamilAptamil
  • TAP RecommendsTAP Recommends
  • ShoppingShopping
  • Press ReleasesPress Releases
  • Project SidekicksProject Sidekicks
  • CommunityCommunity
  • Advertise With UsAdvertise With Us
  • Contact UsContact Us
  • VIPVIP
    • Community
  • Poll
  • Photos
  • Food
  • Recipes
  • Topics
  • Read Articles
    • Tracker
  • Pregnancy Tracker
  • Baby Tracker
    • Rewards
  • RewardsRewards
  • Contests
  • VIP ParentsVIP Parents
    • More
  • Feedback

Privacy PolicyCommunity GuidelinesSitemap HTML

Download our free app

google play store
app store

Foreign Object Stuck In Urethra: 39 Beads Found In 12-Year-Old's Penis

11 Feb, 2019
Foreign Object Stuck In Urethra: 39 Beads Found In 12-Year-Old's Penis

The child confessed to putting the beads inside his penis because he was "curious".

A boy in China recently required surgery after his kidneys stopped producing urine. It turned out to be a case of foreign bodies inserted into the penis.

The alarming incident happened on 13 January, 2019. 

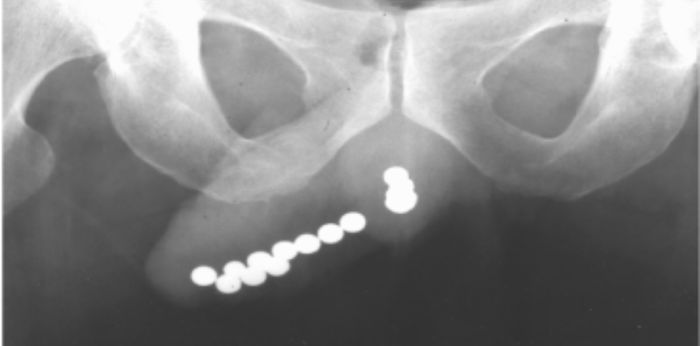
Magnetic beads recovered from boy’s penis

According to news reports, the boy’s worried parents had initially taken him to hospital after he showed symptoms of anuria, or the absence of urine. He had complained of stomach ache, and said that he had swallowed magnetic beads.

The urologist, however, found 39 magnetic beads, in his urinary tract. The child confessed to putting the beads inside his penis because he was “curious”.

Doctors say that they have come across many such cases of foreign object stuck in urethra, especially among boys aged 11-12, who are just hitting puberty.

Thankfully, in this case, they managed to remove the beads through surgery, and the child is able to urinate once again. 

Foreign object stuck in urethra: Why it happens

According to a study, there has been an increasing number of cases of self-inflicted foreign bodies in the urethra and urinary bladder, especially in male patients.

The objects inserted range from sharp objects like needles, pencils and ball point pens to objects like toys, toothbrushes, household batteries and light bulbs! Even vegetables and parts of animals haven’t been spared. 

The study found that the most common reason for self-insertion of a foreign body into the male urethra is for sexual gratification, especially during, masturbation. Usually the pleasurable stimulation of the urethra is accidentally discovered, followed by a desire for repetition using objects of unknown danger.

Usually, victims feel guilty, embarrassed and humiliated and, therefore, there is a delay in seeking medical help. Many times such behaviour is associated with psychiatric disorders, dementia, drug intoxication, mental confusion or sexual curiosity.

Radiological tests are necessary to determine the exact size, number and nature of the foreign object(s). Treatment involves diagnosing complications, foreign body extraction, and avoiding compromise of erectile function.

Partner Stories
National Council Against Drug Abuse  Factsheet for NCADA Forum 2026: Resilient Youth and Families
National Council Against Drug Abuse Factsheet for NCADA Forum 2026: Resilient Youth and Families
FairPrice Reimagines the Singapore Souvenir with Flavoured Cashews
FairPrice Reimagines the Singapore Souvenir with Flavoured Cashews
ECDA Appoints 110 Pedagogical Leaders and Introduces Additional Domains to the Early Childhood Learning Communities
ECDA Appoints 110 Pedagogical Leaders and Introduces Additional Domains to the Early Childhood Learning Communities
Hot Places Are The Coolest Places To Be - with Dyson HushJet TM  Mini Cool Fan
Hot Places Are The Coolest Places To Be - with Dyson HushJet TM Mini Cool Fan

Also READ: Baby boy born with an extra penis on his back ‘terrifies’ doctors

(Source: Philippine Daily Inquirer/Asia News Network)

Got a parenting concern? Read articles or ask away and get instant answers on our app. Download theAsianparent Community on iOS or Android now!

img
Written by

Jaya

  • Home
  • /
  • News
  • /
  • Foreign Object Stuck In Urethra: 39 Beads Found In 12-Year-Old's Penis
Share:
  • National Council Against Drug Abuse  Factsheet for NCADA Forum 2026: Resilient Youth and Families
    Partner Stories

    National Council Against Drug Abuse Factsheet for NCADA Forum 2026: Resilient Youth and Families

  • FairPrice Reimagines the Singapore Souvenir with Flavoured Cashews
    Partner Stories

    FairPrice Reimagines the Singapore Souvenir with Flavoured Cashews

  • ECDA Appoints 110 Pedagogical Leaders and Introduces Additional Domains to the Early Childhood Learning Communities
    Partner Stories

    ECDA Appoints 110 Pedagogical Leaders and Introduces Additional Domains to the Early Childhood Learning Communities

  • National Council Against Drug Abuse  Factsheet for NCADA Forum 2026: Resilient Youth and Families
    Partner Stories

    National Council Against Drug Abuse Factsheet for NCADA Forum 2026: Resilient Youth and Families

  • FairPrice Reimagines the Singapore Souvenir with Flavoured Cashews
    Partner Stories

    FairPrice Reimagines the Singapore Souvenir with Flavoured Cashews

  • ECDA Appoints 110 Pedagogical Leaders and Introduces Additional Domains to the Early Childhood Learning Communities
    Partner Stories

    ECDA Appoints 110 Pedagogical Leaders and Introduces Additional Domains to the Early Childhood Learning Communities

Feed

Feed

Get tailored articles about parenting, lifestyle, expert opinions right at your fingertips

Poll

Poll

Participate in interesting polls and see what other parents think!

Photos

Photos

Share the photos of loved ones in a safe, secure manner.

Topics

Topics

Join communities to bond with fellow mums and dads.

Tracker

Tracker

Track your pregnancy as well as baby’s development day-by-day!

theAsianparent

Download our free app

Google PlayApp Store

Mums around the world

Singapore flag
Singapore
Thailand flag
Thailand
Indonesia flag
Indonesia
Philippines flag
Philippines
Malaysia flag
Malaysia
Vietnam flag
Vietnam

Partner Brands

Rumah123VIP ParentsMama's ChoiceTAP Awards

© Copyright theAsianparent 2026 . All rights reserved

  • About Us
  • Privacy Policy
  • Terms of Use
  • Sitemap HTML
  • Tools
  • Articles
  • Feed
  • Poll

We use cookies to ensure you get the best experience. Learn MoreOk, Got it

We use cookies to ensure you get the best experience. Learn MoreOk, Got it