TAP top app download banner
theAsianparent
theAsianparent
Product Guide
  • Together Against RSV
  • Pregnancy
  • Parenting
  • Child
  • Feeding & Nutrition
  • Education
  • Lifestyle
  • Events
  • Holiday Hub
  • Aptamil
  • TAP Recommends
  • Shopping
  • Press Releases
  • Project Sidekicks
  • Community
  • Advertise With Us
  • Contact Us
  • VIP
Login
    • Articles
  • Together Against RSVTogether Against RSV
  • PregnancyPregnancy
  • ParentingParenting
  • ChildChild
  • Feeding & NutritionFeeding & Nutrition
  • EducationEducation
  • LifestyleLifestyle
  • EventsEvents
  • Holiday HubHoliday Hub
  • AptamilAptamil
  • TAP RecommendsTAP Recommends
  • ShoppingShopping
  • Press ReleasesPress Releases
  • Project SidekicksProject Sidekicks
  • CommunityCommunity
  • Advertise With UsAdvertise With Us
  • Contact UsContact Us
  • VIPVIP
    • Community
  • Poll
  • Photos
  • Food
  • Recipes
  • Topics
  • Read Articles
    • Tracker
  • Pregnancy Tracker
  • Baby Tracker
    • Rewards
  • RewardsRewards
  • Contests
  • VIP ParentsVIP Parents
    • More
  • Feedback

Privacy PolicyCommunity GuidelinesSitemap HTML

Download our free app

google play store
app store

Boy accidentally discovers sister’s cancerous tumor while tickling her

15 Aug, 2016
Boy accidentally discovers sister’s cancerous tumor while tickling her

Specialists found that the tumor was malignant, brought on by a condition called Rhabdomyosarcoma, a rare cancer that mostly affects kids.

Siblings Aaron and Amy from Chelmsford, Essex were playing just like most children their age, goofing around and tickling each other—an otherwise unexceptional event.

However, it was during this time that Aaron discovered something terrifying, although he didn’t know it yet.

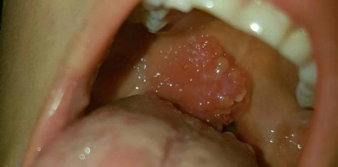
Tickling her sister Amy, the 11-year-old boy noticed a bizarre looking growth in her throat and immediately informed their mother, 31-year-old Carly.

Boy Accidentally Discovers Sisters Cancerous Tumor While Tickling Her

Photo credit: Mercury Press / Mirror UK

“Amy and Aaron were just playing tickle monsters when he looked down her throat while she was laughing,” Carly told the Mirror.

Curiously enough, the first thought that entered her mind when Aaron showed her Amy’s throat was that it was a tumor. The horrified mother wasted no time: she immediately brought her daughter to the doctors.

“I had a knot in my stomach when I was going to the hospital but had to keep it together and stay strong for the kids,” the mother recalled.

Boy Accidentally Discovers Sisters Cancerous Tumor While Tickling Her

Photo credit: Mercury Press / Mirror UK

This was on June 26.

On July 6, test results came back and confirmed Carly’s fear.

The tumor was malignant, brought on by a condition called Rhabdomyosarcoma, a rare cancer that mostly affects kids.

“My world just fell apart when they told me but Amy has been so strong and whatever she has had to face she has just bounced back,” Carly shared. “Amy’s a really happy-go-lucky confident girl and she gives me the strength to carry on, if I was her then I would be on the floor.”

Photo credit: Mercury Press / Mirror UK

Photo credit: Mercury Press / Mirror UK

Amy is scheduled to undergo nine rounds of chemotherapy to address the cancer before she heads out to the United States for a proton beam therapy.

The family has also set up a fundraising page to help shoulder Amy’s astronomical medical bills.

“I’m absolutely so proud of Aaron,” Carly said. “Because he found it, he thinks that he has done something wrong when in fact he has saved his little sister’s life.

“I really cannot thank him enough for what he has done, I am so proud.”

What is Rhabdomyosarcoma?

According to MacMillan.Org, Rhabdomyosarcoma is the most common of the soft tissue sarcomas in children. These tumours develop from muscle or fibrous tissue and can grow in any part of the body.

Most commonly affected areas in the body include head and neck, the bladder, the testes, the womb or the vagina.

“Sometimes tumours are also found in a muscle or a limb, in the chest or in the abdominal wall,” the website said. “If the tumour is in the head or neck area, it can occasionally spread into the brain or the fluid around the spinal cord.”

The most characteristic symptom of this cancer is a lump or swelling. However, other symptoms vary depending on where it is located in the body.

  • A tumour in the head or neck area can sometimes cause a blockage (obstruction) and discharge from the nose or throat. Occasionally, an eye may appear swollen and protruding
  • A tumour in the abdomen (tummy) can cause pain or discomfort in the abdomen and difficulty going to the toilet (constipation)
  • A tumour in the bladder may cause symptoms such as blood in the urine and difficulty passing urine
Partner Stories
National Council Against Drug Abuse  Factsheet for NCADA Forum 2026: Resilient Youth and Families
National Council Against Drug Abuse Factsheet for NCADA Forum 2026: Resilient Youth and Families
FairPrice Reimagines the Singapore Souvenir with Flavoured Cashews
FairPrice Reimagines the Singapore Souvenir with Flavoured Cashews
ECDA Appoints 110 Pedagogical Leaders and Introduces Additional Domains to the Early Childhood Learning Communities
ECDA Appoints 110 Pedagogical Leaders and Introduces Additional Domains to the Early Childhood Learning Communities
Hot Places Are The Coolest Places To Be - with Dyson HushJet TM  Mini Cool Fan
Hot Places Are The Coolest Places To Be - with Dyson HushJet TM Mini Cool Fan

Got a parenting concern? Read articles or ask away and get instant answers on our app. Download theAsianparent Community on iOS or Android now!

img
Written by

Jan Alwyn

  • Home
  • /
  • News
  • /
  • Boy accidentally discovers sister’s cancerous tumor while tickling her
Share:
  • National Council Against Drug Abuse  Factsheet for NCADA Forum 2026: Resilient Youth and Families
    Partner Stories

    National Council Against Drug Abuse Factsheet for NCADA Forum 2026: Resilient Youth and Families

  • FairPrice Reimagines the Singapore Souvenir with Flavoured Cashews
    Partner Stories

    FairPrice Reimagines the Singapore Souvenir with Flavoured Cashews

  • ECDA Appoints 110 Pedagogical Leaders and Introduces Additional Domains to the Early Childhood Learning Communities
    Partner Stories

    ECDA Appoints 110 Pedagogical Leaders and Introduces Additional Domains to the Early Childhood Learning Communities

  • National Council Against Drug Abuse  Factsheet for NCADA Forum 2026: Resilient Youth and Families
    Partner Stories

    National Council Against Drug Abuse Factsheet for NCADA Forum 2026: Resilient Youth and Families

  • FairPrice Reimagines the Singapore Souvenir with Flavoured Cashews
    Partner Stories

    FairPrice Reimagines the Singapore Souvenir with Flavoured Cashews

  • ECDA Appoints 110 Pedagogical Leaders and Introduces Additional Domains to the Early Childhood Learning Communities
    Partner Stories

    ECDA Appoints 110 Pedagogical Leaders and Introduces Additional Domains to the Early Childhood Learning Communities

Feed

Feed

Get tailored articles about parenting, lifestyle, expert opinions right at your fingertips

Poll

Poll

Participate in interesting polls and see what other parents think!

Photos

Photos

Share the photos of loved ones in a safe, secure manner.

Topics

Topics

Join communities to bond with fellow mums and dads.

Tracker

Tracker

Track your pregnancy as well as baby’s development day-by-day!

theAsianparent

Download our free app

Google PlayApp Store

Mums around the world

Singapore flag
Singapore
Thailand flag
Thailand
Indonesia flag
Indonesia
Philippines flag
Philippines
Malaysia flag
Malaysia
Vietnam flag
Vietnam

Partner Brands

Rumah123VIP ParentsMama's ChoiceTAP Awards

© Copyright theAsianparent 2026 . All rights reserved

  • About Us
  • Privacy Policy
  • Terms of Use
  • Sitemap HTML
  • Tools
  • Articles
  • Feed
  • Poll

We use cookies to ensure you get the best experience. Learn MoreOk, Got it

We use cookies to ensure you get the best experience. Learn MoreOk, Got it