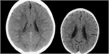
Look at the above image of 2 brains. They both belong to 3-year-old children. Why then, is the brain on the left much bigger than the one on the right?
If you see, the image on the left also has fewer spots, and far fewer dark “fuzzy” areas.
According to neurologists, the brain on the right lacks some of the most fundamental areas present in the brain on the left.
They interpret that this difference in brain structure means that the child on the right will grow up to be less intelligent, and less empathetic. He is also more likely to be drawn towards crime, and vice like drugs, when compared to the child on the left.
Apparently, he is also likely to develop mental and other serious health problems in the future.
What had possibly happened to the child on the right? Was it disease or physical injury, like an accident?
The truth will shock you.
Effect of abuse on a child’s brain
The images actually come from a paper by Professor Bruce D Perry, Chief of Psychiatry at Texas Children’s Hospital, and they reveal a deeply disturbing truth.
And the truth is, the difference in brain size is largely due to the difference in ways the children were treated by their primary caregivers, that is, their mothers!
The child with the larger, and much more fully developed brain was loved and cared for by his mother, while the child with the smaller, shrivelled brain was neglected and abused.
In Professor Bruce Perry’s words, “The CT scan on the left is an image from a healthy 3-year-old with an average head size. “
“The image on the right is from a 3-year-old child suffering from severe sensory-deprivation neglect. This child’s brain is significantly smaller than average and has enlarged ventricles and cortical atrophy.”
Most of us know that the early childhood years are the most crucial, and that they can profoundly impact the rest of a person’s life. But we had no idea, they would even affect the physical structure and size of your brain!
Effect of abuse on a child’s brain: The Mother’s Role
It does look like, there is a lot of truth in the saying, “Happy mums raise happy babies.”
According to Professor Allan Schore, of UCLA,, the growth of a baby’s brain “literally requires positive interaction between mother and infant. The development of cerebral circuits depends on it.”

80 % of brain cells that a person will ever have, are manufactured during the first 2 years after birth.
Which mean that, if a baby is not treated properly in the first two years of life, the genes for various aspects of brain function, including intelligence, cannot function properly and may not even be formed!
It should come as no surprise that, the more severe the neglect is, the greater the damage is.
Effect of abuse on a child’s brain: Some studies
Various studies have previously discovered the shocking link between brain development and abuse.
A 2007 study found that children who had suffered stress due to trauma (and had high levels of the stress hormone cortisol) were likely to experience a decrease in the size of the hippocampus, a brain region associated with emotions and memory processing.
A study in 2015 which looked at the brains of 26 children, who had suffered severe neglect in Romania discovered they had significantly less developed white matter in at least four parts of their brains.
Brain regions responsible for emotion were particularly affected, as were areas associated with maintaining attention, executive function, and sensory processing.
And again, it seems to be a vicious cycle.
Parents who had been abused and neglected by their own parents, neglect their own children in a similar manner.
Their own children’s brains then suffer from the same lack of development that harmed their own lives.
Hence these children too, were likely to do badly at school, end up jobless, and attracted to a world of drugs and crime.

Effect of abuse on a child’s brain: Early intervention is key
There is still some hope, however. Early intervention for instance, has proven to be very useful.
It consists of intervening early, and showing mothers who neglect their children how to treat them in a loving, caring way, which will lead their babies’ brains to develop fully. Experts like nurses are usually entrusted with the task of visiting these mums regularly and instructing them.
It has been shown that children whose mothers had received these visits did much better, and grew up to be more emotionally stable and less inclined to a world of crime.
It is one of the reasons we have programmes like KidSTART in Singapore.
KidSTART is a pilot programme for low-income and vulnerable young children, to enable them to have a good start in life. It brings together the family, community, and pre-school to build a strong ecosystem of support for the child.
Close to 400 families in Singapore have benefited in the last one year alone, and early results have been promising.
Also READ: Emotional abuse in kids, what causes them?
(Source: Telegraph)